세상을 바꾸는 발견들
1편

“돈으로 바꿀 수 있는 나머지 유산은 다음과 같은 방법으로 처리해야 한다. 유언 집행자는 그것을 안전한 곳에 투자해 기금을 조성하고, 거기서 나오는 이자는 지난해 인류에 가장 큰 공헌을 한 사람들을 선정하여 상금의 형태로 매년 지급하도록 한다. 그리고 그 이자는 다섯 개 부분에 공헌한 사람들에게 골고루 분배한다.”
누구의 말인지 아시겠지요? 스웨덴의 화학자 알프레드 노벨(1833~1896)이 유언장에 남긴 내용입니다. 다이너마이트로 부를 쌓은 노벨이 세상을 떠나기 전 이같이 유언을 남기면서 노벨의 유산을 기금으로 하여 1901년 제정된 상이 바로 ‘노벨상’입니다. 노벨상 수상자 발표는 매년 10월, 시상식은 노벨이 사망한 날인 12월 10일에 열리고 있지요.
노벨위원회에서는 물리학, 화학, 생리학 및 의학, 경제학, 문학, 평화의 여섯 개 부문에서 수상자를 발표하는데, 다른 많은 상 중에서도 노벨상 수상을 명예롭게 여기는 이유는 노벨상이 단순한 부와 명예를 넘어서는 숭고한 희생과 인류의 발전을 이끄는 혁신적인 이들에게 수여되는 상이기 때문이겠지요. 아직 과학 분야 수상자가 없는 우리나라로서는 참 아쉬우면서도 도전의 의지를 품게 합니다.
아직 우리에게는 한 번도 주어지지 않은 낯선 상이지만, 노벨상은 사실 우리의 삶에 매우 가깝게 연결되어 있습니다. 실제로 우리가 하루를 보내는 동안 상당히 많은 부분에서 노벨상을 수상한 과학적 발견이라 이론의 혜택을 누리고 있습니다. 올 한 해는 우리 삶을 바꿔 놓은 노벨상 수상 연구들을 위주로 과학 이야기를 풀어보도록 하겠습니다.

그 첫 주인공은 노벨상이 만들어지고 가장 첫 번째로 노벨 물리학상을 받은 독일의 물리학자 빌헬름 콘라트 뢴트겐입니다. 오늘날 우리가 이렇게 건강을 지키며 살 수 있었던 것에 우리는 뢴트겐에게 무한 감사해야 할지 모르겠습니다. 여러분은 그동안 알게 모르게 뢴트겐의 덕을 톡톡히 보았을 테니까요.
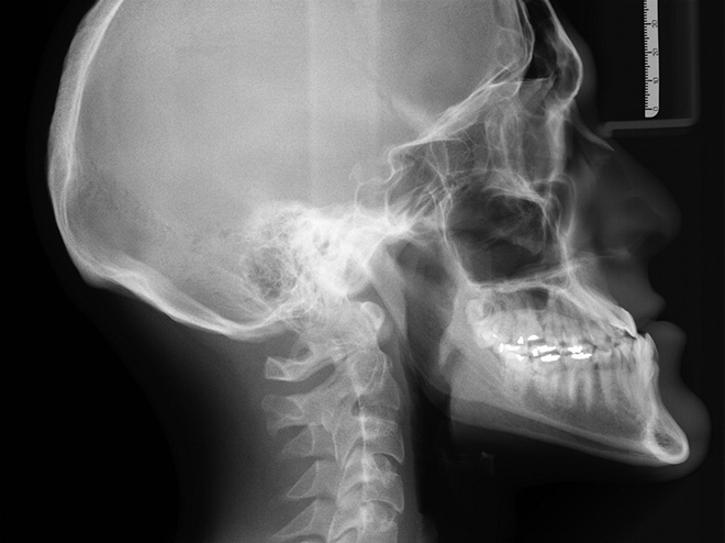
뢴트겐의 놀라운 발견으로 인류는 의학 분야의 큰 발전을 이룰 수 있었고, 의학뿐만 아니라 재료 연구나 여러 검사의 영역에서도 여전히 활발히 쓰이고 있습니다. 뢴트겐이 발견한 것은 바로 X선(X-ray), 병원에서 우리 몸의 안쪽을 들여다보아야 하거나 공항에서 짐 수색이 필요할 때 이 X선이 활용됩니다.

그렇다면 과연 X선이 무엇일까요? 빠른 속도로 진행하던 전자가 금속 원자와 충돌하게 되면 원래 전자가 가지고 있던 에너지를 전자기파의 형태로 뿜어내게 되는데, 바로 이 전자기파를 X선이라고 합니다.
1895년 뢴트겐은 어떤 빛도 들어오지 못하는 암실에서 음극선관을 두꺼운 마분지로 감싸서 내부의 빛이 새어 나오지 못하도록 했습니다. 이 실험은 음극선이 유리관을 통과하면서 생기는 빛이라는 것을 가정하고 진행된 실험이었기에 애초에 X선의 존재를 염두에 두고 진행한 실험이 아니었습니다.
그날 기대하던 결과는 나오지 않았지만, 뢴트겐은 신기한 현상 하나를 목격하게 됩니다. 실험 장치 맞은편에 있는 백금시안화바륨 용지에서 빛이 나게 된 것입니다. 원래는 유리관을 통과한 음극선의 존재를 확인하기 위해 준비했던 용지였고, 이 현상은 기존의 이론들에서는 확인할 수 없었던 현상이었습니다.
일반적으로 음극선은 공기에서 몇 cm 이상을 이동할 수 없다고 알려져 있었기에, 뢴트겐은 백금시안화바륨 용지를 빛나게 한 것은 음극선이 아닌 어떤 새로운 빛이라는 알게 되었지요. 그 빛이 무엇인지를 찾아내기 위해 수많은 실험을 진행하게 되었는데, 대부분의 재료는 이 빛을 막을 수 없었지만 유일하게 1.5mm 이상의 납이 이 미지의 빛을 막을 수 있었습니다.

여기서 뢴트겐은 한 가지 아이디어를 떠올리게 되는데, 당시 사진건판이 발명되어 사진관에서 사진을 찍는 것이 유행이었습니다. 뢴트겐은 이 사진건판을 이용하여 새로운 빛을 활용해 감광 사진을 찍는 아이디어를 떠올렸습니다. 그 결과는 우리에게 너무나 잘 알려진 바로 그 사진에 담겨 있지요. 약혼녀의 손을 찍은 이 사진은 뢴트겐에게 새로운 빛이 존재한다는 명백한 증거가 되었고, 이 미지의 빛은 미지의 선이라는 의미로 X선(X-ray)이라고 부르게 되었습니다. 당시 뢴트겐의 X선 발견은 사회적으로 큰 충격이었는데, 사생활을 크게 침해할 수 있다는 걱정과 그에 관련한 광고까지 나왔을 만큼 사회문화적으로 불투명한 물질의 내부를 들여다볼 수 있다는 사실은 적잖은 충격이었습니다.
X선은 발견되자마자 많은 분야에서 활용되었는데요. 최초로 X선을 활용하여 절개 없이 골절을 진단하거나, 머리에 박힌 탄환을 확인하기도 하였습니다. 이전에는 신체 내부의 상태를 확인하기 위해 외과적 수술이 필수였는데, X선의 발견으로 절개하지 않고도 이를 확인할 수 있게 된 것입니다. 의학계에서는 페니실린의 발견에 버금가는 혹은 그 이상의 발견이었다고 할 수 있었지요.

X선은 의학 분야뿐만 아니라 결정학 분야에도 큰 영향을 끼쳤는데요, X선을 활용한 많은 결정학 연구에서 노벨상 수상자들이 나오게 되었습니다. 결정이란 일정한 순서를 가지고 있는 원자나 분자로 구성되며, 이러한 일정한 패턴은 모든 방향으로 동일하게 반복됩니다. 이 결정은 X선을 활용해 분석되는데, X선의 강도와 특정한 산란 각도를 측정하여 계산하면 결정을 구성하는 원자의 배열 상태를 확인할 수 있습니다.
1914년에는 막스 폰 라우에가 X선 회절 연구를 통해 노벨 물리학상을 수상하였고, 1915년에는 브래그 부자가 결정 구조를 해석함으로 노벨물리학상을, 1962년에는 막스 페루츠와 존 케드로가 헤모글로빈과 미오글로빈의 분자구조를 밝힘으로 노벨 화학상을, 제임스 듀이 왓슨과 프랜시스 크릭이 DNA의 이중나선 구조를 발견하여 노벨 생리학상을 수상하였지요. 현재까지도 X선 결정학은 매우 유용하게 사용하고 있는 연구 방법입니다.

심지어 X선은 의학과 과학 분야가 아닌 미술 분야에서도 활용되었는데요, 고밀도 X선을 활용하여 1887년에 빈센트 반 고흐가 그린 <감자 먹는 사람들> 그림이 사실은 한 여성의 초상화 위에 덧칠한 것임을 밝혀냈습니다. 실제로 고흐는 가난했던 시절에 돈을 아끼기 위해 캔버스를 재활용하기도 했다고 하니 참으로 놀라운 발견이 아닐 수 없습니다.
물체의 내부를 투과해 본다는 것은 상상도 할 수 없었던 시절을 생각하면 언젠가는 마음속까지 투과하는 미지의 빛도 발견되지 않을까 하는 엉뚱한 생각도 해봅니다. 여러분은 그 미지의 빛으로 무엇은 투과해 보고 싶으신가요?
'Semiconductor > 스마트 Tip' 카테고리의 다른 글
| [노벨상 다시 보기] 세상을 바꾸는 발견들, 2편 (0) | 2024.05.16 |
|---|---|
| [디지털 라이프] 구부리고, 감고, 차고! 비현실적인 너 = 벤더블폰을 만나다 (24) | 2024.04.12 |
| [디지털 라이프] 지능형 애플리케이션 기반! 기계 고객, 누구냐 넌!? (34) | 2024.02.08 |
| [에너지 다시 보기] 쓰레기, 다시 힘을 내다! 폐기물 에너지 (0) | 2024.01.17 |
| [디지털 라이프] 인간에 의한 인간을 닮은 멀티모달 AI와 휴머노이드 로봇 (0) | 2023.12.06 |